Case

症例紹介

すべての投稿

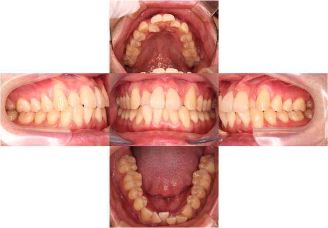
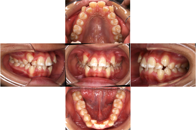
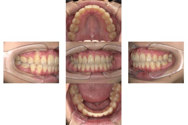
  1. 10代男子非抜歯/歯のガタガタが気になる症例(叢生)

    • BEFORE

      Before

    • AFTER

      After

    通院時の年齢 13歳9か月
    性別 男性
    治療内容 マルチブラケット+BH(バイヘリックス)
    矯正用アンカースクリュー4本(上2本 下2本)
    歯並びが気になる、前歯で物が噛めない、口が閉じにくい、発音がしにくいなどを訴えて来院した患者さんです。体系は痩せ型でしたが、口呼吸もあり睡眠時無呼吸症の疑いもあり診療中もすぐに寝てしまうほど眠気が見られました。
    アンカースクリューを用い、親知らず以外の歯を抜くこと無く治療を完了する事ができました。
    治療により、歯並びが良くなっただけではなく、食べ物が食べやすくなり、口が閉じ、発音がしやすくなったと本人も満足されていました。睡眠時無呼吸症も改善され勉強に集中できるようになったとのことです。
    治療期間・治療回数 2年6か月・30か月
    治療費用(税込) ¥880,000+9,900×30回
    リスク・副作用 ・ブラッシング不足により、虫歯や歯周病が進行する恐れがあります。
    ・強い咬合や衝撃により歯肉が下がり、しみることがあります。
    ・体質によって、金属やゴムに対するアレルギー反応が出る場合があります。
    詳しく見る
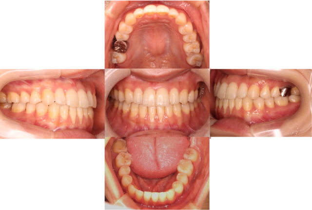
  2. 20代女性/噛み合わせが気になる

    • BEFORE

      Before

    • AFTER

      After

    通院時の年齢 21歳9か月
    性別 女性
    治療内容 上顎右側第1小臼歯、左側犬歯、下顎左右側第一小臼歯抜歯 マルチブラケット(矯正用アンカースクリューなし) 保定 口腔清掃
    治療期間・治療回数 2年1か月・25回
    治療費用(税込) ¥880,000+¥11,000×25回
    リスク・副作用 ・受け口の再発、カリエス、歯周病 ・歯磨きが十分でない場合は虫歯や歯周病が進行することがあります。来院後1週間経過しても痛みが続く場合は御連絡ください。 ・矯正歯科治療中に顎がかくかく鳴なることがありますが、他の症状がない場合は次回の来院時にご相談ください。一方、口が開きにくい場合もしくは顎関節に痛みがある場合は御連絡ください。 ・治療中に歯と歯が強くぶつかったり、強く噛み込むと歯肉が下がることがあり知覚過敏の原因になることがあります。 ・体質により金属アレルギーやラバーアレルギーを引き起こす事があります。 ・歯肉が退縮して歯が長く見えたり、歯と歯の隙間が広くなったりすることもあります。歯をわずかに削ることですき間を小さくできますので、気になる場合は来院時にその旨をお伝えください。
    詳しく見る
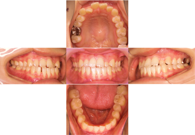
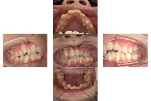
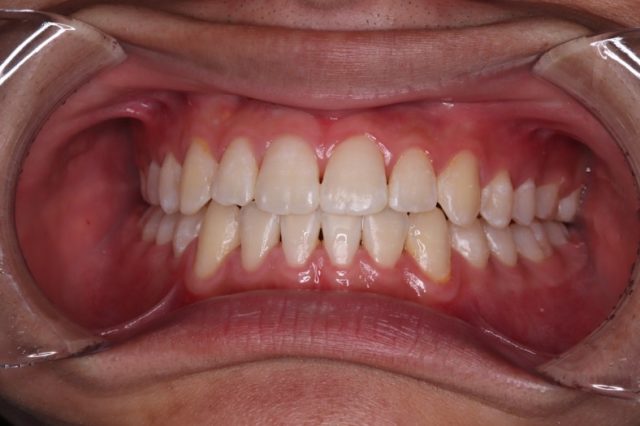
  3. 20代男性/上下の歯のガタガタが気になる

    • BEFORE

      Before

    • AFTER

      After

    通院時の年齢 29歳
    性別 男性
    治療内容 マルチブラケット(ワイヤー矯正)、上下矯正用アンカースクリュー4本
    治療期間・治療回数 2年6か月・30回
    治療費用(税込) ¥880,000+¥11,000×30回
    リスク・副作用 ・初診時より、歯周病による歯茎の腫脹があったため、矯正治療中に歯周病が進行する可能性があります。 ・歯茎が下がると知覚過敏や虫歯が発現する可能性があります。 ・上下の歯が強く当たっている前から2番目の歯では歯の根っこが短くなっている可能性があります。  また、上顎の2番目の歯が下の歯を乗り越えるときに食べ物が食べにくい場合があります。 ・治療終了後に歯茎が下がることで歯と歯の隙間が気になる場合がありますが、歯の幅を削ることですき間を閉じることができます。
    備考 抜歯部位:親知らず(第三大臼歯) 上下左右に矯正用アンカースクリューを埋入し、上下顎臼歯の遠心移動を行った症例
    詳しく見る
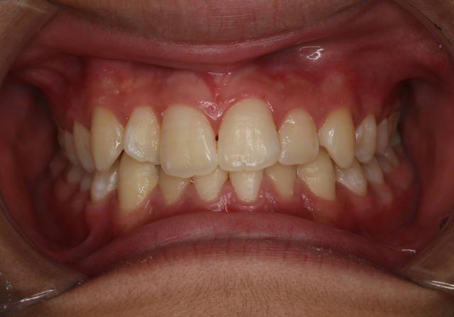
  4. 10代女子/前歯のガタガタがきになる

    • BEFORE

      Before

    • AFTER

      After

    通院時の年齢 16歳8か月
    性別 女子
    治療内容 上下4本抜歯を行い、マルチブラケットにて治療を行った。 治療終盤には顎間ゴムを使用し、より緊密な噛み合わせとなるように治療を行った。
    治療期間・治療回数 2年2か月・26回
    治療費用(税込) ¥880,000+11,000×26回
    リスク・副作用 ・カリエス、歯周病・歯磨きが十分でない場合は虫歯や歯周病が進行することがあります。
    ・来院後1週間経過しても痛みが続く場合は御連絡ください。
    ・矯正歯科治療中に顎がかくかく鳴なることがありますが、他の症状がない場合は次回の来院時にご相談ください。
    ・一方、口が開きにくい場合もしくは顎関節に痛みがある場合は御連絡ください。
    ・治療中に歯と歯が強くぶつかったり、強く噛み込むと歯肉が下がることがあり知覚過敏の原因になることがあります。
    ・体質により金属アレルギーやラバーアレルギーを引き起こす事があります。
    ・歯肉が退縮して歯が長く見えたり、歯と歯の隙間が広くなったりすることもあります。
    ・歯をわずかに削ることですき間を小さくできますので、気になる場合は来院時にその旨をお伝えください。
    詳しく見る
  5. 10代女子/出っ歯、唇が閉じられない

    • BEFORE

      Before

    • AFTER

      After

    通院時の年齢 13歳8か月
    性別 女子
    治療内容 上顎第1小臼歯を抜去し、埋伏していた犬歯を牽引した後に マルチブラケットにて治療を行った。 固定装置はナンスのホールディングアーチをもちいた。
    治療期間・治療回数 2年8か月・32回
    治療費用(税込) ¥880,000+¥11,000×32回 (抜歯の費用は含まず)
    リスク・副作用 ・でこぼこ歯の再発、カリエス、歯周病・歯磨きが十分でない場合は虫歯や歯周病が進行することがあります。
    ・来院後1週間経過しても痛みが続く場合は御連絡ください。
    ・矯正歯科治療中に顎がかくかく鳴なることがありますが、他の症状がない場合は次回の来院時にご相談ください。
    ・一方、口が開きにくい場合もしくは顎関節に痛みがある場合は御連絡ください。
    ・治療中に歯と歯が強くぶつかったり、強く噛み込むと歯肉が下がることがあり知覚過敏の原因になることがあります。
    ・体質により金属アレルギーやラバーアレルギーを引き起こす事があります。
    ・歯肉が退縮して歯が長く見えたり、歯と歯の隙間が広くなったりすることもあります。
    ・歯をわずかに削ることですき間を小さくできますので、気になる場合は来院時にその旨をお伝えください。
    詳しく見る
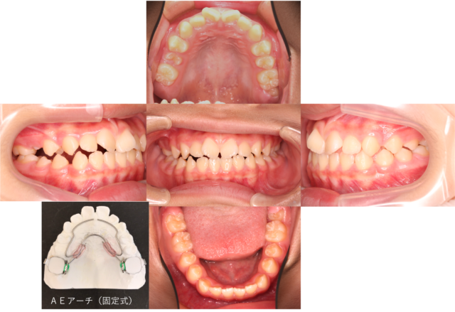
  6. 11歳女児/ 前歯のガタガタが気になる

    • BEFORE

      Before

    • AFTER

      After

    通院時の年齢 11歳0か月
    性別 女児
    治療内容 前歯のガタガタを治したいとのことで来院しました。 前歯のねじれのため、そのままでは奥歯で食べ物を噛むことができず、下顎を横にずらして食事を取っていました。 このままだと、下顎がずれたまま成長してしまう可能性が高い状態です。右側の奥歯もほぼ咬んでいませんでした。 固定式のAEアーチをもちいて治療を行い、ガタガタもほぼ無い状況まで治療することができました。
    治療期間・治療回数 2年6か月・15回
    治療費用(税込) ¥440,000+調節料¥5,500×15回
    リスク・副作用 金属アレルギーがある場合、装置装着時にアレルギー反応がある場合があります。 AEアーチが粘膜に強く当たると痛みが出る場合があります。 ごく希に、過去に歯をぶつけた事がある場合に歯の神経が死ぬ場合があります。その場合は神経に対する治療が必要になることがあります。
    詳しく見る
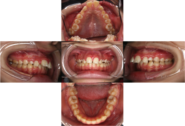
  7. 10代男性/出っ歯とかみ合わせが深い事が気になる

    • BEFORE

      Before

    • AFTER

      After

    通院時の年齢 15歳10ヶ月
    性別 男性
    治療内容 本人は出っ歯を気にしていたが、診断の結果上下とも前に出ている口ゴボの症状がありました、 このため、矯正用アンカースクリューにて上下の歯全体を後ろに下げる治療を行いました。
    治療期間・治療回数 2年0か月・25回
    治療費用(税込) 治療費用:¥880,000+調節料¥11,000×25
    リスク・副作用 ・ガタガタの再発、カリエス、歯周病・歯磨きが十分でない場合は虫歯や歯周病が進行することがあります。
    ・来院後1週間経過しても痛みが続く場合は御連絡ください。
    ・矯正歯科治療中に顎がかくかく鳴なることがありますが、他の症状がない場合は次回の来院時にご相談ください。
    ・一方、口が開きにくい場合もしくは顎関節に痛みがある場合は御連絡ください。
    ・治療中に歯と歯が強くぶつかったり、強く噛み込むと歯肉が下がることがあり知覚過敏の原因になることがあります。
    ・体質により金属アレルギーやラバーアレルギーを引き起こす事があります。
    ・歯肉が退縮して歯が長く見えたり、歯と歯の隙間が広くなったりすることもあります。
    ・歯をわずかに削ることですき間を小さくできますので、気になる場合は来院時にその旨をお伝えください。
    詳しく見る
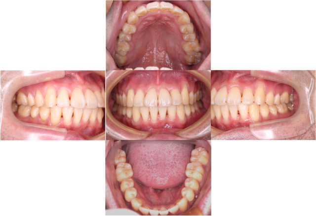
  8. 20代女性 受け口が気になる

    • BEFORE

      Before

    • AFTER

      After

    通院時の年齢 24歳2か月
    性別 女性
    治療内容 成人矯正(Ⅱ期治療)にて治療した患者さんです。 上下顎マルチブラケットを用い、下顎臼歯部に矯正用アンカースクリューを左右2本埋入して 下顎の歯を全体的に後に下げる治療を行いました。
    治療期間・治療回数 2年6か月・30回
    治療費用(税込) ¥880,000+¥11,000×30
    リスク・副作用 ・受け口の再発、カリエス、歯周病 ・歯磨きが十分でない場合は虫歯や歯周病が進行することがあります。来院後1週間経過しても痛みが続く場合は御連絡ください。 ・矯正歯科治療中に顎がかくかく鳴なることがありますが、他の症状がない場合は次回の来院時にご相談ください。一方、口が開きにくい場合もしくは顎関節に痛みがある場合は御連絡ください。 ・治療中に歯と歯が強くぶつかったり、強く噛み込むと歯肉が下がることがあり知覚過敏の原因になることがあります。 ・体質により金属アレルギーやラバーアレルギーを引き起こす事があります。 ・歯肉が退縮して歯が長く見えたり、歯と歯の隙間が広くなったりすることもあります。歯をわずかに削ることですき間を小さくできますので、気になる場合は来院時にその旨をお伝えください。
    備考 下顎のみ矯正用アンカースクリュー左右2本 非抜歯
    詳しく見る
  9. フレンケル装置から始まり、マルチブラケットで仕上げた矯正症例|11歳〜14歳 男...

    • BEFORE

      Before

    • AFTER

      After

    通院時の年齢 14歳4か月
    性別 男性
    治療内容 マルチブラケット
    治療期間・治療回数 2年10か月
    治療費用(税込) ¥814,000
    リスク・副作用 ・受け口の再発、カリエス、歯周病
    ・歯磨きが十分でない場合は虫歯や歯周病が進行することがあります。来院後1週間経過しても痛みが続く場合は御連絡ください。
    ・矯正歯科治療中に顎がかくかく鳴なることがありますが、他の症状がない場合は次回の来院時にご相談ください。一方、口が開きにくい場合もしくは顎関節に痛みがある場合は御連絡ください。
    ・治療中に歯と歯が強くぶつかったり、強く噛み込むと歯肉が下がることがあり知覚過敏の原因になることがあります。
    ・体質により金属アレルギーやラバーアレルギーを引き起こす事があります。
    ・歯肉が退縮して歯が長く見えたり、歯と歯の隙間が広くなったりすることもあります。歯をわずかに削ることですき間を小さくできますので、気になる場合は来院時にその旨をお伝えください。
    備考 11歳男児のフレンケル装置を用いた小児矯正からの続きです。
    詳しく見る
  10. 11歳 男児|フレンケル装置による小児矯正症例(第I期治療)

    • BEFORE

      Before

    • AFTER

      After

    通院時の年齢 11歳3か月
    性別 男性
    治療内容 Ⅰ期治療(小児矯正)
    治療期間・治療回数 2年7か月・31回
    治療費用(税込) ¥594,000
    リスク・副作用 ・口内炎
    ・装置の使用時間が10時間以下になりますと十分な効果が得られない場合があります。
    ・矯正歯科治療中に顎がかくかく鳴なることがありますが、他の症状がない場合は次回の来院時にご相談ください。一方、口が開きにくい場合もしくは顎関節に痛みがある場合は御連絡ください。
    ・体質により金属アレルギーやプラスチックによるアレルギーが発現する場合があります
    備考 フレンケル装置使用
    詳しく見る

料金表はこちら

Reserve

初診予約は
こちら