Case

症例紹介

20代女性/噛み合わせが気になる

  • BEFORE

    Before

  • AFTER

    After

通院時の年齢 21歳9か月
性別 女性
治療内容 上顎右側第1小臼歯、左側犬歯、下顎左右側第一小臼歯抜歯 マルチブラケット(矯正用アンカースクリューなし) 保定 口腔清掃
治療期間・治療回数 2年1か月・25回
治療費用 ¥880,000+¥11,000×25回
リスク・副作用 ・受け口の再発、カリエス、歯周病 ・歯磨きが十分でない場合は虫歯や歯周病が進行することがあります。来院後1週間経過しても痛みが続く場合は御連絡ください。 ・矯正歯科治療中に顎がかくかく鳴なることがありますが、他の症状がない場合は次回の来院時にご相談ください。一方、口が開きにくい場合もしくは顎関節に痛みがある場合は御連絡ください。 ・治療中に歯と歯が強くぶつかったり、強く噛み込むと歯肉が下がることがあり知覚過敏の原因になることがあります。 ・体質により金属アレルギーやラバーアレルギーを引き起こす事があります。 ・歯肉が退縮して歯が長く見えたり、歯と歯の隙間が広くなったりすることもあります。歯をわずかに削ることですき間を小さくできますので、気になる場合は来院時にその旨をお伝えください。

前歯で物が噛めないとご相談があった患者さんです。

上下共に歯と歯が重なっており、いわゆるガチャ歯になっていました。

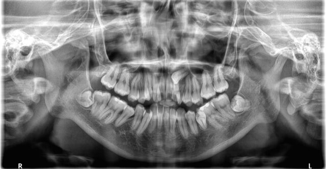
また、左上の前から3番目には乳歯が残っており、糸切り歯(犬歯)がみられません。

 

レントゲンを確認したところ、左上の犬歯は顎の骨の中に埋まっておりました。

相談した結果、犬歯は残念ながら抜歯し右上の第1小臼歯(4番目の歯)の抜歯を行い、下顎は左右の第1小臼歯と親知らずを抜いて治療を行いました。

治療期間は2年1か月でした。

写真はありませんが、上唇がとがった感じも改善され、本人はとても喜んでいました。

今後、保定に入り2年間歯が動かないようにチェックしていきます。

料金表はこちら

Reserve

初診予約は
こちら