Case

症例紹介

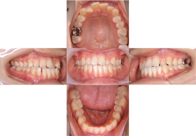
20代女性 受け口が気になる

  • BEFORE

    Before

  • AFTER

    After

通院時の年齢 24歳2か月
性別 女性
治療内容 成人矯正(Ⅱ期治療)にて治療した患者さんです。 上下顎マルチブラケットを用い、下顎臼歯部に矯正用アンカースクリューを左右2本埋入して 下顎の歯を全体的に後に下げる治療を行いました。
治療期間・治療回数 2年6か月・30回
治療費用 ¥880,000+¥11,000×30
リスク・副作用 ・受け口の再発、カリエス、歯周病 ・歯磨きが十分でない場合は虫歯や歯周病が進行することがあります。来院後1週間経過しても痛みが続く場合は御連絡ください。 ・矯正歯科治療中に顎がかくかく鳴なることがありますが、他の症状がない場合は次回の来院時にご相談ください。一方、口が開きにくい場合もしくは顎関節に痛みがある場合は御連絡ください。 ・治療中に歯と歯が強くぶつかったり、強く噛み込むと歯肉が下がることがあり知覚過敏の原因になることがあります。 ・体質により金属アレルギーやラバーアレルギーを引き起こす事があります。 ・歯肉が退縮して歯が長く見えたり、歯と歯の隙間が広くなったりすることもあります。歯をわずかに削ることですき間を小さくできますので、気になる場合は来院時にその旨をお伝えください。
備考 下顎のみ矯正用アンカースクリュー左右2本 非抜歯

受け口の治療を希望して来院した患者さんです。

上と下の前歯が強く当たってしまったことで、下の歯の歯茎が下がってしまっています。

下の歯を矯正用アンカースクリューにて後に下げたことで、見た目にも機能的にも改善が見られました。、

料金表はこちら

Reserve

初診予約は
こちら